STAT信号通路是机体中主要的信号通路,由信号传导及转录激活因子(STAT)及其受体组成。STAT信号通路将胞外的化学信号转化为细胞核中DNA的基因启动子,激活DNA的转录及其活性。
干扰素、白介素、生长因子及其他化学信使等信号将受体磷酸化使之活化。STAT蛋白与磷酸化的受体结合,诱导磷酸化,使其他STAT蛋白或进一步作用的蛋白寡聚体化,从而转移至细胞核内。寡聚体形成可结合值DNA的转录因子,并促使STAT应答基因转录。

| 产品名称 | 货号 | 规格 | 应用 |
|---|---|---|---|
| Anti-STAT4 (RABBIT) Antibody | RK-100-401-861 | 100μl | E, WB |
| Anti-STAT2 (MOUSE) MonoclonalAntibody | RK-200-301-B65 | 100μg | E, IHC, WB |
| Anti-STAT2 pY690 (RABBIT) Antibody | RK-600-401-A93 | 100μg | E, WB |
| Anti-JAK2 pY372 Antibody | RK-600-401-J45 | 50μg | E, WB |
| Anti-JAK2 pY972 Antibody | RK-600-401-J46 | 50μg | E, WB |
| Anti-IL-10 (RABBIT) Antibody | RK-109-401-312 | 1ml | E, IHC, WB |
| Anti-STAT3 pY705 (RABBIT) Antibody | RK-600-401-C64 | 100μg | E, IHC, WB |
| Anti-Human IL-9 (RABBIT)Antibody Peroxidase Conjugated | RK-209-403-B96 | 100μg | E, IHC, WB |
| Anti-Human IL-9 (RABBIT)Antibody Biotin Conjugated | RK-209-406-B96 | 100μg | E, IHC, WB |
| Anti-STAT5 (RABBIT) Antibody | RK-600-401-A44 | 100μg | E, WB |
| Anti-SOCS1(RABBIT) Antibody | RK-600-401-H18 | 100μg | WB |
| Anti-STAT5 pY694 (RABBIT) Antibody | RK-600-401-A45 | 100μg | E, IHC, WB |
![]() |
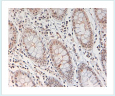
![]() |
| Jurkat细胞经/不经IFN-α处理,使用Anti-STAT2 pY690(RABBIT) Antibody (Cat No. 600-401-A93)检测的WB图片 | 使用Anti-STAT3 pY705 (RABBIT) Antibody (Cat No. 600-401-C64)检测人结肠组织的免疫组化图片。 |


