 |
NF-κB (核因子活化B细胞κ轻链增强子)是调控DNA转录的蛋白复合物,存在于几乎所有类型的动物细胞中,参与细胞对刺激物(如压力、细胞因子、自由基、紫外辐射、氧化低密度脂蛋白、细菌或病毒抗原等)产生应答。最近发现NF-κB与癌症、炎症、自身免疫疾病、感染性休克、病毒干扰和不合适的免疫发育相关。因此NF-κB可作为药物治疗的靶点。 |
 |
| 产品名称 |
货号 |
规格 |
应用 |
目录价(¥) |
| NFκB p50 (NFKB1) Control Peptide
|
RK-100-4164P |
50μg |
E, IHC, WB |
1440.00 |
| NFκB Oligonucleotide
|
RK-K-025
|
500ng
|
E, GS, WB
|
960.00
|
|
NFκB p105 Control Peptide
|
RK-100-4184P
|
50μg
|
|
1440.00
|
|
NFκB p52 Control Peptide
|
RK-100-4185P
|
50μg
|
|
1440.00
|
| NFκB cRel Control Peptide
|
RK-100-4166P
|
50μg
|
|
1440.00
|
|
NFκB p65 (Rel A) Control Peptide
|
RK-100-4165P
|
50μg
|
|
1440.00
|
| Anti-NFκB p65 (Rel A) (RABBIT) Antibody
|
RK-100-4165
|
100μl
|
E, GS, IHC, WB
|
4704.00
|
| NFκB p65 NLS specific Control Peptide
|
RK-000-001-271
|
50μg
|
|
1440.00
|
|
Anti-NFκB p65 NLS specific (RABBIT) Antibody
|
RK-600-401-271
|
100μg
|
E, GS, IF, IHC, WB
|
4704.00
|
| NFκB p65 (Rel A) pS276 Control Peptide
|
RK-000-000-264
|
50μg
|
|
1440.00
|
| NFκB p65 (Rel A) S276 Control Peptide
|
RK-000-000-264NP
|
50μg
|
|
1440.00
|
| Anti-NFκB p50 (NFκB1) (RABBIT)Antibody
|
RK-100-4164
|
100μl
|
E, WB
|
4704.00
|
| Anti-NFκB p65 (Rel A) pS536 (RABBIT) Antibody
|
RK-600-401-265
|
100μg
|
E, IHC, WB
|
4704.00
|
| Anti- NFκB p65 (Rel A) N-TerminalSpecific (RABBIT) Antibody
|
RK-100-4165N
|
100μl
|
E, WB
|
4704.00
|
| Anti-NFκB p65 (Rel A) pS276 (RABBIT) Antibody
|
RK-100-401-264
|
100μl
|
E, IHC, WB
|
4704.00
|
| Anti-NFκB p65 (Rel A) pS529 (RABBIT) Antibody
|
RK-100-401-266
|
100μl
|
E, IHC, WB
|
4704.00
|
| Anti-NFκB p65 (Rel A) (MOUSE)Monoclonal Antibody
|
RK-200-301-065
|
100μg
|
E, IF, IHC, WB
|
4704.00
|
| Anti-NFκB p65 (Rel A) pS276 (RABBIT) Antibody
|
RK-600-401-264
|
100μg
|
E, WB
|
4704.00
|
| NFκB p65 (Rel A) N- TerminalSpecific Control Peptide
|
RK-100-4165NP
|
50μg
|
|
1440.00
|
| NFκB Antibody Sampler Kit
|
RK-K711
|
1Kit
|
E, WB
|
12240.00
|
| Anti-NFκB cRel (RABBIT) Antibody
|
RK-100-4166
|
100μl
|
E, GS, WB
|
4704.00
|
| Anti-NFκB p105 (RABBIT) Antibody
|
RK-100-4184
|
100μl
|
E, WB
|
4704.00
|
| Anti- NFκB p52 (RABBIT) Antibody
|
RK-100-4185
|
100μl
|
E, WB
|
4704.00
|
| Anti-KB-RAS (RABBIT) Antibody
|
RK-600-401-273
|
100μg
|
E, WB
|
4704.00
|
| Anti-IKBα C-terminal (RABBIT)Antibody
|
RK-100-4167C
|
100μl
|
E, IHC, WB
|
4704.00
|
| NFκB (P50) ELISA Kit
|
RK-KAA064
|
1Kit
|
E
|
8000.00
|
| Anti-iASPP (RABBIT) Antibody
|
RK-600-401-926
|
100μg
|
E, IHC, WB
|
4704.00
|
| IKKβ Control Peptide
|
RK-100-401-220p
|
50μg
|
|
1440.00
|
| IKBα C-terminal Control Peptide
|
RK-100-4167CP
|
50μg
|
|
1440.00
|
| Anti-IkBα (MOUSE) Monoclonal Antibody
|
RK-200-301-H80
|
100μg
|
WB
|
4704.00
|
| Anti-IKKα (MOUSE) Monoclonal Antibody
|
RK-200-301-H82
|
100μg
|
IHC, WB
|
4704.00
|
| Anti-p29 ING4 (GOAT) Antibody
|
RK-600-101-284
|
100μg
|
E, WB
|
4704.00
|
| Anti-ROC2 (C-terminal specific)[RABBIT) Antibody
|
RK-100-401-A14
|
100μl
|
E, IHC, WB
|
4704.00
|
 |
 |
 |
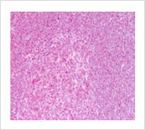
| Anti-NFκB p65 (Rel A) (RABBIT) Antibody (Cat No. 100-4165)染色扁桃体石蜡切片中淋巴细胞和生发中心细胞的免疫组化图片。 |
Anti-NFκB p65 NLS specific (RABBIT) Antibody (Cat No. 600-401-271)染色TNF刺激的DU145细胞的免疫荧光图片。 |
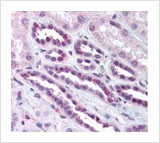
Anti-NFκB p65 (Rel A) pS276 (RABBIT) Antibody (Cat No. 100-401-264)染色人肾脏组织的免疫组化图片。 |
|