https://www.liankebio.com/article-information_Newsletter-826.html
作者:QIAGEN官网 发布日期:2015-02-21 06:00
QIAamp DNA Kits —— 纯化基因组 DNA、线粒体 DNA、细菌、寄生虫或病毒 DNA
1.20 分钟内快速纯化高品质,高产量,即用型 DNA(见图 20)
2.多种规格可选择:Mini Kit 可处理 25 mg 组织,Micro Kit 可处理小于 10 mg 组织
3.完全去除污染物和抑制剂
4.可在 QIAcube 上进行自动化纯化
表1 QIAamp DNA Mini Kit纯化各类样本的核酸产量
| 样品
|
用量
|
总核酸的量(µg)*
|
DNA 的量(µg)†
|
| 血液
|
200 µl
|
4–12
|
4–12
|
| 白膜层
|
200 µl
|
25–50
|
25–50
|
| 细胞
|
106
|
20–30
|
15–20
|
| 肝脏
|
25 mg
|
60–115
|
10–30
|
| 大脑
|
25 mg
|
35–60
|
15–30
|
| 肺
|
25 mg
|
25–45
|
5–10
|
| 心脏
|
25 mg
|
15–40
|
5–10
|
| 肾脏
|
25 mg
|
40–85
|
15–30
|
| 脾脏
|
10 mg
|
25–45
|
5–30
|
* 核酸未经RNase处理 。
† 核酸经RNase处理。总核酸的量(µg)*
 |
图1 纯化长达50 kb的基因组DNA
QIAamp Kits从图示来源的样本(每泳道3 µg)中纯化获得的DNA长度
|
RNeasy Kit —— 常规组织或细胞 RNA 纯化
1.从细胞、组织或酵母中纯化至总 RNA
2.数分钟内快速纯化得到高品质总 RNA
3.即用型 RNA 在各种下游应用中表现良好
4.无需有机试剂或乙醇沉淀步骤
RNeasy Kits 提供四种规格(Micro, Mini, Midi, Maxi),RNeasy 离心柱的结合能力分别为45 μg, 100 μg, 1 mg 和 6 mg 的 RNA。
表2 RNeasy Mini Kit从各类样本中纯化得到的总RNA产量
| 样本来源
|
起始材料
|
平均产量(µg)
|
| 动物细胞LMHHeLaCOS-7淋巴细胞(未受激)
|
1 x 1061 x 1061 x 1061 x 106
|
1215350.5
|
| 小鼠组织肝肺脾
|
10 mg10 mg10 mg
|
401035
|
| 真菌细胞S. cerevisiae
|
1 x 107
|
25
|
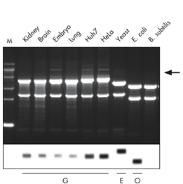
| 使用RNeasy Maxi Kit纯化的总RNA的甲醛琼脂糖凝胶电泳和northern印迹。从各种来源的样本中分离总RNA(10 µg)上样至各泳道。所有组织均来源于小鼠。酵母:Saccharomyces cerevisiae;E. coli菌株:HB101。32P标记的探针识别的(G)GAPDH;(E)翻译延长因子EF-1α;和(O)外膜蛋白A序列。(E和O分别由瑞士巴塞尔大学的P. Philippsen和德国蒂宾根马克斯-普朗克生物学研究所的U. Henning提供。)B. subtilis未采用探针检测。M:0.24–9.5 kb RNA分子量标准。胚胎、Huh7和HeLa细胞泳道中的7.5 kb条带(图示)为核前体RNA。 |
图2 从多种样本中纯化高品质RNA |
表3 常规组织,细胞核酸纯化产品列表:
| 产品名称
|
货号
|
| QIAamp DNA Mini Kit (50)
|
Y5-51304
|
| QIAamp DSP DNA Mini Kit (50)
|
Y5-61304
|
| RNeasy Mini Kit (50)
|
Y5-74104
|
| RNeasy Mini Kit (250)
|
Y5-74106
|
| RNeasy Plus Mini Kit (50)
|
Y5-74134
|
| RNeasy Plus Universal Midi Kit (10)
|
Y5-73442
|
| RNeasy Midi Kit (10)
|
Y5-75142
|
| RNeasy Midi Kit (50)
|
Y5-75144
|
| RNeasy Maxi Kit (12)
|
Y5-75162
|
|