https://www.liankebio.com/article-information_Newsletter-820.html
作者:QIAGEN官网 发布日期:2015-02-24 09:00
无细胞体液包括:血浆或血清,脑脊液 ,尿液,其他无细胞体液,细胞培养上清液。
QIAamp Viral RNA Mini Kit —— 从无细胞体液中纯化病毒 RNA
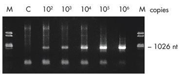
| 1)快速纯化高品质病毒 RNA(见图 1)2)无需有机提取或乙醇沉淀3)重复性好,产量高4)完全去除污染物和抑制剂 |
 |
| 图1 扩增血浆中的RNA 从血浆中纯化的1026 nt RNA片段的RT-PCR产物。将10倍梯度稀释液(如图所示)加入血浆,使用QIAamp Viral RNA Mini Kit纯化。M:分子量标准;C:阴性对照。 |
QIAamp MinElute Virus Spin Kit —— 浓缩柱版,从血浆、血清或无细胞体液中同时纯化病毒 DNA 和 RNA
|
1)快速纯化并浓缩高品质病毒 DNA 和 RNA(见图 2)
2)无需有机提取或乙醇沉淀
3)重复性好,产量高
4)完全去除污染物和抑制剂
5)洗脱体积可低至 20 μl
6)有对应 Vacuum kit,真空操作更快更高效
|
 |
| 图2:高灵敏 PCR 检测数据显示了低病毒滴度阳性样本的百分比,病毒核酸分别利用 QIAamp MinElute Spin or Vacuum Kit 进行纯化;结果显示,对于 95% 的置信区间内,离心操作对应的病毒滴度值为 27.25 IU / ml 和而真空操作过程则为 9.30IU/ml。 |
QIAamp UltraSens Virus Kit —— 血清和血浆中浓缩和纯化病毒 DNA 和 RNA
|
1)快速纯化并浓缩高品质的即用型病毒 DNA 和 RNA(见图 3)
2)样本起始体积可多至 1 ml
3)无需有机抽提或乙醇沉淀
4)重复性好,产量高
5)完全去除污染物和抑制剂
|
 |
| 图 3 纯化获得的核酸在下游分析中有出色表现利用QIAamp UltraSens 步骤从典型的病毒中纯化 RNA, 在LightCycler 上进行一步法 RT-PCR。geq/ml:每毫升中的基因组当量;–:阴性对照;M:分子量标准。(数据由德国汉堡 Artus GmbH 的 Thomas Laue 博士提供。) |
QIAamp UCP Pathogen Mini Kit —— 从全血、拭子、培养基或体液中纯化微生物 DNA
1)从微量样本中纯化病原体(细菌和真菌) DNA
2)使用 Pathogen Lysis Tubes 对细胞进行高效的机械破碎
3)简化的纯化流程,实验方案包括预处理步骤和真空或离心操作
4)采用超级洁净生产过程(UCP)生产,确保无任何外源 DNA 污染
QIAamp UCP Pathogen Mini Kit使用特制的样本预处理方案进行样本预处理。使用Pathogen Lysis Tubes进行机械破碎,可高效裂解革兰阳性或阴性细菌、酵母和其他真菌。
QIAamp Circulating Nucleic Acid Kit —— 用于从人类血清或血浆中浓缩并纯化游离 DNA 和 RNA
QIAamp Circulating Nucleic Acid Kit 简化了从血清或血浆中纯化游离DNA 和 RNA 的过程,配合真空底座 QIAvac 24 plus 使用,一次可以从24 个血清 / 血浆样本中高效纯化并浓缩游离 DNA 和 RNA(见图 4)。
|
1)起始体积高达 5 ml,洗脱体积低至 20 μl
2)高效回收 DNA 片段和 RNA
3)无需有机溶剂抽提或乙醇沉淀
4)完全去除杂质和抑制剂
5)高度适合 NIPT 产前诊断核酸纯化
|
 |
| 在24个血浆样本中加入同等量的DNA片段(200 bp和1000 bp)。使用QIAamp Circulating Nucleic Acid Kit从5 ml血浆中纯化DNA,洗脱体积为80 μl。使用QuantiTect Multiplex PCR Kit对每个DNA片段特异性的66 bp靶点进行双重real-time PCR,定量DNA的产量。 |
miRNeasy Serum/Plasma Kit —— 从血浆和血清中纯化包括 miRNA 的总RNA
循环 miRNA 可作为检测不同癌症及其他疾病(如糖尿病)的潜在生物标志物。miRNeasy Serum/ Plasma Kit 能够从少量的血浆或血清中纯化包含 miRNA 的总 RNA。QIAGEN 同时提供miRNeasy Serum/Plasma Spike-In Control,适用于研究血清或血浆样品时的标准化。纯化得到的miRNA 之后可用 miScript PCR System 进行表达分析,用于发现生物标志物。1)从多至 200 μl 血清或血浆中纯化包含 miRNA 的总 RNA
2)硅胶膜技术确保无盐或苯酚的污染
3)洗脱体积低至 10 μl,最大程度确保 miRNA 高浓度
4)可在 QIAcube 上进行自动化纯化
无细胞体液核酸纯化产品列表:
| 产品名称
|
货号
|
| QIAamp Viral RNA Mini Kit (50)
|
Y5-52904
|
| QIAamp UltraSens Virus Kit (50)
|
Y5-53704
|
| QIAamp Circulating Nucleic Acid Kit (50)
|
Y5-55114
|
| QIAamp DSP Circulating NA Kit (50)
|
Y5-61504
|
| QIAamp MinElute Virus Spin Kit (50)
|
Y5-57704
|
| QIAamp DSP Virus Kit
|
Y5-60704
|
| QIAamp DSP Virus Spin Kit (50)
|
Y5-61704
|
| miRNeasy Serum/Plasma Kit (50)
|
Y5-217184
|
| miRNeasy Serum/Plasma Spike-In Control
|
Y5-219610
|
|