大气污染是一个日益严重的公共健康问题。广泛的流行病学数据表明,当人长期暴露于大气颗粒物 (particulate matter, PM) 中,不仅会加速肺功能的下降、增加患哮喘和慢性阻塞性肺病(COPD)等呼吸道炎症疾病的概率,而且会显著增加肺癌发病率和死亡率,特别是对于非吸烟者而言。据估计,全球约有50万人死于由此引起的肺癌。

研究表明,人吸入的PM可沉积在呼吸道的不同部位,并与上皮细胞和驻留的免疫细胞相互作用,且会增加肺上皮细胞的氧化应激和自噬。自噬通过复杂的机制在肿瘤发展中发挥双重作用,既能在早期恶性肿瘤的发生过程中起抑制作用,也能在晚期癌症的发展中起促进作用。另外,自噬既能促进恶性癌细胞通过循环扩散,又能促进扩散细胞在靶器官的定殖。但是,上述作用的具体机制尚不清楚。

近日,浙江大学医学院研究团队对PM引起的细胞自噬是否在PM影响肿瘤细胞肺转移的机制中起核心作用进行了探索,在《Autophagy》上发表了题为Increased alveolar epithelial TRAF6 via autophagy-dependent TRIM37 degradation mediates particulate matter-induced lung metastasis(IF:16.016)的文章。

文章介绍了研究团队通过合理的设计和丰富的实验,对PM促进肿瘤细胞肺转移的机制进行的探索以及新的发现,增强了对肿瘤细胞肺转移机制的理解,为干预治疗提供了潜在策略。
PM促进肺转移前生态位的形成和肿瘤向肺部的转移
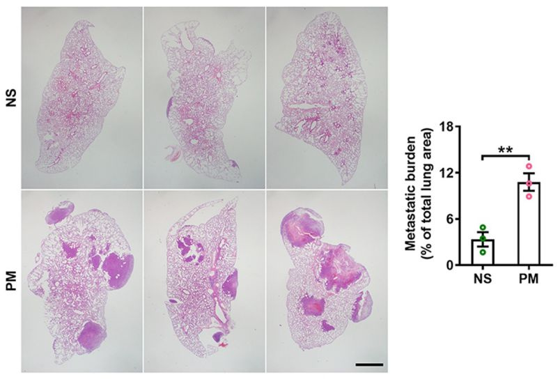
有利于肿瘤细胞转移的环境,被称为转移前生态位,是肿瘤细胞向远处靶器官转移和定殖所必需的。在本实验中,研究团队将B16-F10黑色素瘤细胞或Lewis肺癌(LLC)细胞经尾静脉注入C57BL/6小鼠体内,PM则经鼻滴注。结果显示,滴注PM的小鼠肺转移灶增加,表明PM促进了B16-F10和LLC细胞的肺转移。另外,暴露于PM的小鼠肺中某些促进肿瘤细胞转移和促进肿瘤细胞在转移部位定殖的基因表达水平显著升高,其中部分基因表达主要在中性粒细胞中发生上调,表明PM可促进肺转移前生态位的形成。


PM通过募集中性粒细胞诱导肿瘤向肺部转移
免疫细胞通过重塑局部肿瘤微环境诱导转移前生态位形成。研究团队分析了生理盐水(NS)处理和PM处理的小鼠肺部免疫细胞水平的差异。结果显示, PM能够促进中性粒细胞在肺部的募集。另外,血管内皮生长因子(VEGF)也参与PM诱导的中性粒细胞募集。

PM诱导的肿瘤细胞肺转移与自噬相关
PM暴露可诱导肺上皮细胞的自噬。为了确定自噬与中性粒细胞募集的关系,研究团队对肺部自噬基因缺陷小鼠进行了中性粒细胞的统计分析。结果显示,PM可增加正常小鼠肺部中性粒细胞的募集,但带有肺部自噬基因缺陷的小鼠肺部中性粒细胞募集不明显。该结果表明,自噬是通过招募中性粒细胞形成转移前生态位所必需的。
为了明确自噬抑制是否是临床治疗PM诱导的肿瘤细胞肺转移的一种策略,研究团队探索了临床上用于治疗疟疾和红斑狼疮的自噬抑制剂羟氯喹(HCQ)对PM诱导的肿瘤细胞肺转移的影响。结果显示,HCQ对PM诱导的肿瘤细胞肺转移有显著的抑制作用。该结果表明,HCQ是一种很有前景的治疗PM诱导的肿瘤细胞肺转移的药物。
PM诱导TRAF6积累促进肿瘤细胞肺转移
研究团队发现, PM诱导人支气管上皮细胞中TRAF6蛋白的显著积累和表达水平升高。TRIM37作为E3连接酶,可通过泛素-蛋白酶体途径介导TRAF6的降解。然而,自噬可介导TRIM37的降解,因而抑制了TRAF6的降解,造成TRAF6的积累,进而促进了肿瘤细胞向肺部转移。
联科生物助力科研
![]()
研究中使用的联科生物抗体试剂:
| 名称 | 货号 |
|---|---|
| Goat Anti-Rabbit IgG(H+L) HRP | GAR0072 |
| Goat Anti-Mouse IgG(H+L) HRP | GAM0072 |
除此之外,联科生物提供种类丰富的流式抗体,一流的质量,实惠的价格,了解更多信息请联系我们4006721600
