https://www.liankebio.com/article-information_Dynamic-1923.html
作者:TheScientist 发布日期:2017-05-23 11:00
科学家通过移植患者来源或啮齿类来源的微型肠道到小鼠体内,可以快速创造更准确的此类疾病小鼠模型。
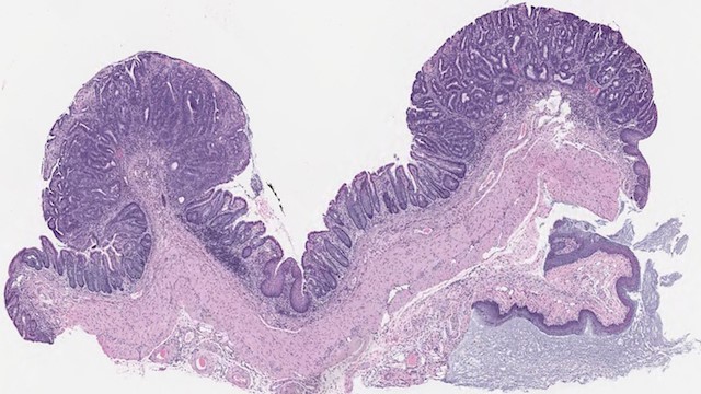
近年来,科学家已经研发类器官---培养皿中的干细胞来源器官,用于许多组织,包括肾脏,肠道和脑。虽然这些微型器官提供一个有用的工具来研究发育和疾病,许多科学家仍然认为动物模型需要用于验证这些体外研究。2017年5月1日两个连续的研究发发表在《自然生物技术》杂志,科学家结合这两种方法通过移植类器官到小鼠体内,形成一种更快,更准确的结直肠癌(CRC)小鼠模型。 结直肠癌(CRC)在美国是最常见的癌症之一,是国家癌症相关死亡的第二大原因。国内结直肠癌等发病上升迅速且出现年轻化趋势。尽管治疗这种疾病需要更好的治疗,转基因动物模型的CRC仍然相当有限。 “因为不是众所周知小鼠癌症发生在小肠,而不是大肠,这正是人类癌症发生地”,Scott Lowe,这项研究的共同作者之一,纽约纪念斯隆凯特林癌症中心的生物学家说。“它们得到这么多(肿瘤),生病并且需要在癌症扩散到一个与人类发生癌症类型相似的阶段前牺牲。” 2009年,Hans Clevers和其实验室的博士后Toshiro Sato用来源于小鼠肠道的成体干细胞培育出首个微型肠道(mini-guts)类器官,近年来,研究人员试图改进这些使用微型肠道的动物模型。这项研究的共同作者之一,康奈尔大学生物化学教授Lukas Dow说:“Clevers和他的同事一旦确定培养条件,他们便证明了遗传操作能力,打开任何人想要使用这些系统的领域”。 类器官中包含多种已分化的细胞类型,这些细胞类型在体内相应的器官中也有存在。比如,小肠上皮的所有细胞类型在Sato等报道的小肠类器官模型中均有体现。介导类器官形成的信号通路与体内器官发育与稳态维持的信号通路是相同的,因此,细胞因子、生长因子和小分子也要添加到培养基中,以激活或者抑制参与类器官形成的特定信号通路。制备不同的类器官需使用不同的添加物组合,即使对于小肠和结肠等结构非常相近的组织,添加物的组合也不尽相同。
|


