担心抗体质量不好,不敢用?做出来阳性结果,也觉得是碰运气?联科生物帮您排忧解惑!
MultiSciences SuperGold一抗上线,经过了多种样本和实验方法的验证,保证您实验结果真实有效!这些SuperGold一抗是当下热门研究的抗体,主要包括:AKT1,BAX,Bcl-2,ERK1,ERK2,CD34,Beta-Catenin,EP-CAM等100种抗体。
(一)部分产品应用介绍:1. ab40001(SuperGold Anti-AKT1)
Recommended Dilutions:
WB: 1:2,000 IHC: 1:100-1:200
ICC: 1:100-1:200 FC: 100-1:200
Fig1:
Western blot analysis of Akt1 on differentcell
lysates using anti-Akt1 antibody at 1/2000
dilution.
Positive control:
Lane 1: HepG2 Lane 2: MCF-7 Lane 3: Hela

Fig2:
ICC staining Akt1 inHela cells (red). Cells were
fixed in paraformaldehyde, permeabilised with
0.25% Triton X100/PBS.
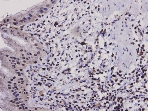
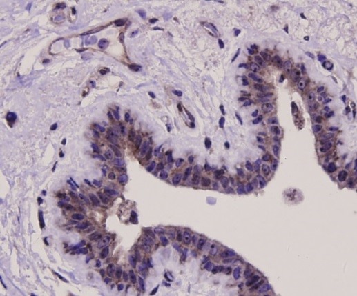
Fig3:
Immunohistochemical analysis of
paraffin-embedded human breast carcinoma tissue
using anti-Akt1antibody. Counter stained with hematoxylin.

Fig4:
Flow cytometric analysis of Hela cells with Akt1antibody
at 1/100 dilution (blue) compared with an unlabelled
control (cells without incubation with primary antibody; red).
Goat anti rabbit IgG (FITC) was used as the secondary antibody.
2. ab40005(SuperGold Anti-BAX)
Recommended Dilutions:
WB: 1:500 ICC: 1:200
IHC: 1:200 FC: 1:50

Fig1:
Western blot analysis of Bax on different cell
lysates using anti-BAX antibody at 1/500 dilution.
Positive control:
Lane1: Raji
Lane2: Mouse lymphoid tissue

Fig2:
ICC staining BAX in HepG2 cells (green).
The nuclear counter stain is DAPI (blue).
Cells were fixed in paraformaldehyde,
permeabilised with 0.25% Triton X100/PBS.

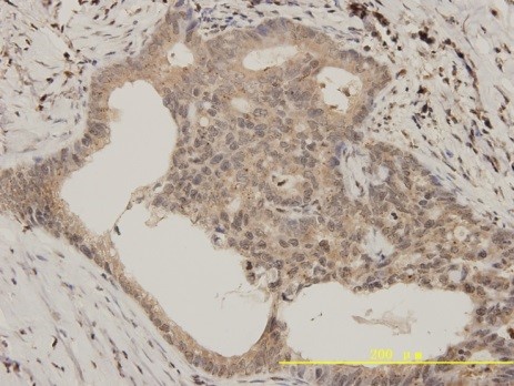
Fig3:
Immunohistochemical analysis of
paraffin-embedded human gallbladder tissue
using BAX antibody. Counter stained with
hematoxylin.

Fig4:
Flow cytometric analysis of Hela cells with
vimentin antibody at 1/50 dilution (blue)
compared with an unlabelled control (cells
without incubation with primary antibody;
red). Goat anti mouse IgA (FITC) was used
as the secondary antibody.
3. ab40007(SuperGold Anti-Bcl-2)
Recommended Dilutions:
WB: 1:500 ICC: 1:200
IHC: 1:200 FC: 1:50-1:100

Fig1:
Western blot analysis of Bcl-2 on different
cell lysates using anti-Bcl-2 antibody at 1/500 dilution.
Positive control:
Lane1: HL-60 Lane2: Hela
Lane3: HepG2 Lane 4:A431

Fig2:
ICC staining Bcl-2 in Hela cells (green). Cells were
fixed in paraformaldehyde, permeabilised with 0.25%
Triton X100/PBS.

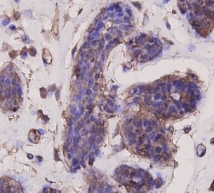
Fig3:
Immunohistochemical analysis of paraffin-embedded
human colon carcinoma tissue using anti-Bcl-2 rabbit
polyclonal antibody. Counter stained with hematoxylin.
Fig4:
Flow cytometric analysis of Hela cells with Bcl-2 antibody
at 1/50 dilution (blue) compared with an unlabelled control
(cells without incubation with primary antibody; red). Goat
anti rabbit IgG (FITC) was used as the secondary antibody.
4. ab40036(SuperGold Anti-ERK1)
Recommended Dilutions:
WB: 1:500-1:1,000
ICC: 1:200 IHC: 1:200

Fig1:
Western blot analysis of ERK1 on differentcell lysates using
anti- ERK1 antibody at 1/1000 dilution.
Positive control:
Lane 1: Hela Lane2: SW480
Lane3: HCT116 Lane 4: HepG2
Lane5: PC12

Fig2:
ICC staining ofERK1 in LOVO cells (green). Cells were fixed
in paraformaldehyde, permeabilised with 0.25% Triton X100/PBS.
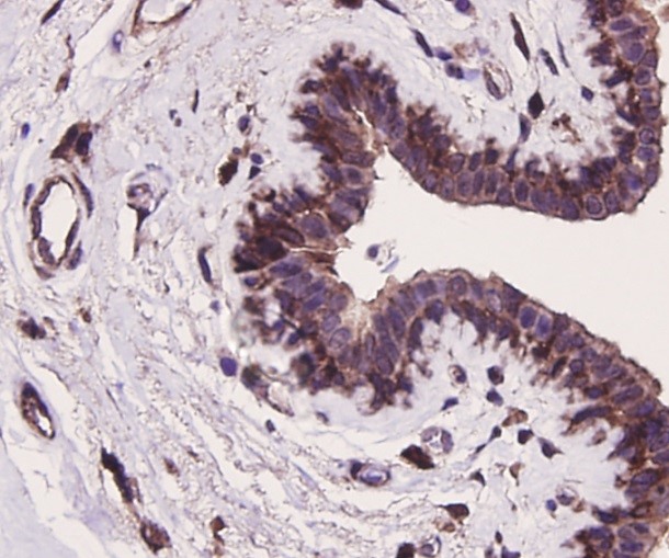
Fig3:
Immunohistochemical analysis of paraffin-embedded human
breast carcinoma tissue using anti-ERK1 antibody. Counter
stained with hematoxylin.
5. ab40037(SuperGold Anti-ERK2)
Recommended Dilutions:
WB: 1:1,000-1:2,000 ICC: 1:200
IHC: 1:200 FC: 1:100-1:200

Fig1: Western blot analysis of ERK2 on differentcell
lysates using anti-ERK2 antibody at 1/2000 dilution.
Positive control:
Lane 1: Jurkat Lane 2:A431 Lane 3: PC12
Lane 4: NIH/3T3 Lane 5: Hela Lane 6: HT-29
Lane 7: MCF-7

Fig2:
ICC staining of ERK2 in A549 cells (green). Cells were fixed
in paraformaldehyde, permeabilised with 0.25% Triton X100/PBS.
Fig3:
Immunohistochemical analysis of paraffin-embedded human breast
carcinoma tissue using anti-ERK2antibody. Counter stained with hematoxylin.

Fig6:
Flow cytometric analysis of Hela cells with SIRT1 antibody at 1/100
dilution (blue) compared with an unlabelled control (cells without
incubation with primary antibody; red). Goat anti rabbit IgG (FITC)
was used as the secondary antibody.
(二) MultiSciences SuperGold抗体清单:
| 目录号
|
产品名称
|
规格
|
目录价
|
应用
|
交叉反应性
|
| ab40000
|
SuperGold Anti-AFP
|
100ul
|
2180
|
WB,ICC,IHC,FCM
|
Hu
|
| ab40001
|
SuperGold Anti-AKT1
|
100ul
|
2180
|
WB,ICC,IHC,FCM
|
Hu,Ms
|
| ab40002
|
SuperGold Anti-Alpha smooth muscle Actin
|
100ul
|
2180
|
WB,ICC,IHC
|
Hu,Ms,Rt
|
| ab40003
|
SuperGold Anti-Alpha-tubulin
|
100ul
|
2180
|
WB,IHC,ICC,FCM,IF
|
Hu,Ms,Rt,Zf
|
| ab40004
|
SuperGold Anti-AU1 tag
|
100ul
|
2180
|
WB,ELISA,IP,ICC
|
NoData
|
| ab40005
|
SuperGold Anti-BAX
|
100ul
|
2180
|
WB,ICC,IHC,FCM
|
Hu,Ms
|
| ab40006
|
SuperGold Anti-BAX
|
100ul
|
2180
|
WB,ICC,IHC
|
Hu,Ms,Rt
|
| ab40007
|
SuperGold Anti-Bcl-2
|
100ul
|
2180
|
WB,ICC,IHC,FCM
|
Hu
|
| ab40008
|
SuperGold Anti-BDNF
|
100ul
|
2180
|
WB,ICC,IHC
|
Hu,Ms,Rt
|
| ab40009
|
SuperGold Anti-Beta-Actin
|
100ul
|
2180
|
WB,ICC,IHC,FCM
|
Hu,Ms,Rt
|
| ab40010
|
SuperGold Anti-Beta-Catenin
|
100ul
|
2180
|
WB,ICC,FCM
|
Hu,Ms,Rt
|
| ab40011
|
SuperGold Anti-Beta-Catenin
|
100ul
|
2180
|
WB,IHC,FCM
|
Hu,Ms,Rt
|
| ab40012
|
SuperGold Anti-Bmi1
|
100ul
|
2180
|
WB,ICC,IHC,FCM
|
Hu,Ms,Rt
|
| ab40013
|
SuperGold Anti-BMP2
|
100ul
|
2180
|
WB,ICC,IHC,FCM
|
Hu,Ms,Rt
|
| ab40014
|
SuperGold Anti-Cardiac Troponin /TTNNT2
|
100ul
|
2180
|
WB,IHC
|
Hu,Ms,Rt
|
| ab40015
|
SuperGold Anti-Caspase-3
|
100ul
|
2180
|
WB,ICC,IHC,FCM
|
Hu,Ms
|
| ab40016
|
SuperGold Anti-Catalase
|
100ul
|
2180
|
WB,ICC,IHC
|
Hu,Ms,Rt
|
| ab40017
|
SuperGold Anti-Caveolin-1
|
100ul
|
2180
|
WB,ICC,IHC
|
Hu,Ms,Rt
|
| ab40018
|
SuperGold Anti-CD133
|
100ul
|
2180
|
WB,ICC,IHC,FCM
|
Hu
|
| ab40019
|
SuperGold Anti-CD19
|
100ul
|
2180
|
WB,IHC,FCM
|
Hu,Ms
|
| ab40020
|
SuperGold Anti-CD3 epsilon
|
100ul
|
2180
|
WB,ICC,IHC,FCM
|
Hu,Ms
|
| ab40021
|
SuperGold Anti-CD31
|
100ul
|
2180
|
WB,ICC,IHC,FCM
|
Hu
|
| ab40022
|
SuperGold Anti-CD34
|
100ul
|
2180
|
WB,ICC,IHC,FCM
|
Hu,Ms,Rt
|
| ab40023
|
SuperGold Anti-CD44
|
100ul
|
2180
|
WB,IHC,FCM
|
Hu
|
| ab40024
|
SuperGold Anti-CD9
|
100ul
|
2180
|
WB,ICC,IHC,FCM
|
Hu,Ms,Rt
|
| ab40025
|
SuperGold Anti-CDk1
|
100ul
|
2180
|
WB,ICC,IHC,FCM
|
Hu,Ms,Rt
|
| ab40026
|
SuperGold Anti-CDK6
|
100ul
|
2180
|
WB,ICC,IHC
|
Hu,Ms,Rt
|
| ab40027
|
SuperGold Anti-Chromogranin A
|
100ul
|
2180
|
WB,IHC,FCM
|
Hu,Ms,Rt
|
| ab40028
|
SuperGold Anti-cMet
|
100ul
|
2180
|
WB,ICC,IHC,FCM
|
Hu,Ms,Rt
|
| ab40029
|
SuperGold Anti-CRISPR-Cas9
|
100ul
|
2180
|
WB,ICC
|
NoData
|
| ab40030
|
SuperGold Anti-Cyclin D1
|
100ul
|
2180
|
WB,IHC
|
Hu,Ms,Rt
|
| ab40031
|
SuperGold Anti-Cytokeratin-7
|
100ul
|
2180
|
WB,IHC
|
Hu
|
| ab40032
|
SuperGold Anti-Desmin
|
100ul
|
2180
|
WB,ICC,IHC
|
Hu,Ms,Zf
|
| ab40033
|
SuperGold Anti-E tag
|
100ul
|
2180
|
WB,ELISA,IP,ICC
|
NoData
|
| ab40034
|
SuperGold Anti-E-Cadherin
|
100ul
|
2180
|
WB,ICC,IHC,FCM
|
Hu,Ms
|
| ab40035
|
SuperGold Anti-EP-CAM
|
100ul
|
2180
|
WB,ICC,IHC,FCM
|
Hu,Ms
|
| ab40036
|
SuperGold Anti-ERK1
|
100ul
|
2180
|
WB,ICC,IHC
|
Hu,Ms,Rt
|
| ab40037
|
SuperGold Anti-ERK2
|
100ul
|
2180
|
WB,ICC,IHC,FCM
|
Hu,Ms,Rt
|
| ab40038
|
SuperGold Anti-FGFR2/CD332
|
100ul
|
2180
|
WB,ICC,IHC
|
Hu,Ms
|
| ab40039
|
SuperGold Anti-GAP43
|
100ul
|
2180
|
WB,ICC,IHC,FCM
|
Hu,Ms,Rt
|
| ab40040
|
SuperGold Anti-GAPDH
|
100ul
|
2180
|
WB,ICC
|
Hu,Ms,Rt
|
| ab40041
|
SuperGold Anti-GFAP
|
100ul
|
2180
|
WB,IHC,ICC,FCM
|
Hu,Ms,Rt
|
| ab40042
|
SuperGold Anti-GFP
|
100ul
|
2180
|
WB,ICC,ELISA,IP,FCM
|
NoData
|
| ab40043
|
SuperGold Anti-Glutathione Peroxidase 1
|
100ul
|
2180
|
WB,ICC,IHC,FCM
|
Hu
|
| ab40044
|
SuperGold Anti-GPR49/LGR5 alpha/
beta
|
100ul
|
2180
|
WB,IHC
|
Hu,Ms
|
| ab40045
|
SuperGold Anti-GRB2
|
100ul
|
2180
|
WB,ICC,IHC,FCM
|
Hu,Ms,Rt
|
| ab40046
|
SuperGold Anti-GRP78
|
100ul
|
2180
|
WB,ICC,IHC,FCM
|
Hu,Ms,Rt
|
| ab40047
|
SuperGold Anti-GST
|
100ul
|
2180
|
WB,ELISA
|
NoData
|
| ab40048
|
SuperGold Anti-HER2 / ErbB2
|
100ul
|
2180
|
WB,ICC,IHC
|
Hu
|
| ab40049
|
SuperGold Anti-Histone H3
|
100ul
|
2180
|
WB,IHC
|
Hu,Ms,Rt
|
| ab40050
|
SuperGold Anti-HMGB1
|
100ul
|
2180
|
WB,ICC,IHC,FCM
|
Hu,Ms,Rt
|
| ab40051
|
SuperGold Anti-HSP27
|
100ul
|
2180
|
WB,ICC,IHC
|
Hu,Ms,Rt
|
| ab40052
|
SuperGold Anti-HSP60
|
100ul
|
2180
|
WB,ICC,IHC
|
Hu,Ms,Rt
|
| ab40053
|
SuperGold Anti-HSP70
|
100ul
|
2180
|
WB,ICC,IHC
|
Hu,Ms,Rt
|
| ab40054
|
SuperGold Anti-HSP90 Beta
|
100ul
|
2180
|
WB,IHC
|
Hu,Ms,Rt
|
| ab40055
|
SuperGold Anti-ICAM1
|
100ul
|
2180
|
WB,ICC,IHC,FCM
|
Hu
|
| ab40056
|
SuperGold Anti-Ikk alpha
|
100ul
|
2180
|
WB,ICC,IHC,FCM
|
Hu,Ms,Rt
|
| ab40057
|
SuperGold Anti-IL-6
|
100ul
|
2180
|
WB,IHC
|
Hu
|
| ab40058
|
SuperGold Anti-Insulin
|
100ul
|
2180
|
IHC,ELISA
|
Hu,Ms,Rt
|
| ab40059
|
SuperGold Anti-Integrin beta- 1/CD29
|
100ul
|
2180
|
WB,IHC,FCM
|
Hu,Ms
|
| ab40060
|
SuperGold Anti-Isocitrate dehydrogenase/IDH1
|
100ul
|
2180
|
WB,IHC
|
Hu,Zf
|
| ab40061
|
SuperGold Anti-Ku70
|
100ul
|
2180
|
WB,IHC
|
Hu,Ms
|
| ab40062
|
SuperGold Anti-LDHA
|
100ul
|
2180
|
WB,IHC,FCM
|
Hu,Ms,Rt
|
| ab40063
|
SuperGold Anti-LMNB2
|
100ul
|
2180
|
WB,ICC,IHC
|
Hu,Ms,Rt
|
| ab40064
|
SuperGold Anti-MAPK14
|
100ul
|
2180
|
WB,ICC,IHC
|
Hu,Ms
|
| ab40065
|
SuperGold Anti-MATER
|
100ul
|
2180
|
ICC
|
Hu,Ms
|
| ab40066
|
SuperGold Anti-MGMT
|
100ul
|
2180
|
WB,ICC,IHC,FCM
|
Hu
|
| ab40067
|
SuperGold Anti-MMP1
|
100ul
|
2180
|
WB,ICC,IHC
|
Hu
|
| ab40068
|
SuperGold Anti-MMP2
|
100ul
|
2180
|
WB,ICC,IHC,FCM
|
Hu,Ms,Rt
|
| ab40069
|
SuperGold Anti-MSH6
|
100ul
|
2180
|
WB,ICC,IHC,FCM
|
Hu,Ms,Rt
|
| ab40070
|
SuperGold Anti-MuERVL-Gag
|
100ul
|
2180
|
ICC
|
Ms
|
| ab40071
|
SuperGold Anti-Myc Tag
|
100ul
|
2180
|
WB,ICC,ELISA,IP,FCM
|
NoData
|
| ab40072
|
SuperGold Anti-N-Cadherin
|
100ul
|
2180
|
WB,ICC,IHC,FCM
|
Hu,Ms
|
| ab40073
|
SuperGold Anti-NF-κB p65
|
100ul
|
2180
|
WB,IHC,FCM
|
Hu,Ms,Rt
|
| ab40074
|
SuperGold Anti-OCT-4
|
100ul
|
2180
|
WB,ICC
|
Hu,Ms
|
| ab40075
|
SuperGold Anti-OOEP
|
100ul
|
2180
|
IHC
|
Ms
|
| ab40076
|
SuperGold Anti-p53
|
100ul
|
2180
|
WB,ICC,IHC,FCM
|
Hu
|
| ab40077
|
SuperGold Anti-p70 S6 Kinase beta
|
100ul
|
2180
|
WB,ICC,IHC,FCM
|
Hu,Ms,Rt
|
| ab40078
|
SuperGold Anti-PCNA
|
100ul
|
2180
|
WB,ELISA,IHC,FCM
|
Hu,Ms,Rt
|
| ab40079
|
SuperGold Anti-PDI
|
100ul
|
2180
|
WB,ICC,IHC
|
Hu,Ms,Rt
|
| ab40080
|
SuperGold Anti-PRMT5
|
100ul
|
2180
|
WB,IHC
|
Hu,Ms,Rt
|
| ab40081
|
SuperGold Anti-PUMA
|
100ul
|
2180
|
WB,ICC,IHC,FCM
|
Hu,Ms
|
| ab40082
|
SuperGold Anti-Ras
|
100ul
|
2180
|
WB,ICC,IHC,FCM
|
Hu,Ms,Rt
|
| ab40083
|
SuperGold Anti-ROCK1
|
100ul
|
2180
|
WB,IHC
|
Hu,Ms
|
| ab40084
|
SuperGold Anti-S tag
|
100ul
|
2180
|
WB,ELISA,IP,ICC
|
NoData
|
| ab40085
|
SuperGold Anti-Sequestosome-1
|
100ul
|
2180
|
WB,ICC,IHC,FCM
|
Hu,Ms,Rt
|
| ab40086
|
SuperGold Anti-SIRT1
|
100ul
|
2180
|
WB,IHC,FCM
|
Hu,Ms
|
| ab40087
|
SuperGold Anti-Stat-1 alpha/beta
|
100ul
|
2180
|
WB,ICC,IHC,FCM
|
Hu,Ms
|
| ab40088
|
SuperGold Anti-STAT6
|
100ul
|
2180
|
WB,ICC,IHC,FCM
|
Hu
|
| ab40089
|
SuperGold Anti-T7 tag
|
100ul
|
2180
|
WB,ELISA,IP,ICC
|
NoData
|
| ab40090
|
SuperGold Anti-TGF-Beta 1/2
|
100ul
|
2180
|
WB,ICC,IHC,FCM
|
Hu,Ms,Rt,Zf
|
| ab40091
|
SuperGold Anti-TLR7
|
100ul
|
2180
|
WB,IHC
|
Hu,Ms,Rt
|
| ab40092
|
SuperGold Anti-Topoisomerase II alpha
|
100ul
|
2180
|
WB,ICC,IHC,FCM
|
Hu,Ms,Rt
|
| ab40093
|
SuperGold Anti-Ubiquitin
|
100ul
|
2180
|
WB,ICC,IHC
|
Hu,Ms,Rt
|
| ab40094
|
SuperGold Anti-VCP
|
100ul
|
2180
|
WB,ICC,IHC
|
Hu,Ms,Zf
|
| ab40095
|
SuperGold Anti-VEGF
|
100ul
|
2180
|
WB,ICC,IHC,FCM
|
Hu
|
| ab40096
|
SuperGold Anti-VEGFR1
|
100ul
|
2180
|
WB,IHC
|
Hu,Ms,Rt
|
| ab40097
|
SuperGold Anti-Vimentin
|
100ul
|
2180
|
WB,ICC,IHC,FCM
|
Hu,Ms,Rt
|
| ab40098
|
SuperGold Anti-ZO1
|
100ul
|
2180
|
ICC,IHC
|
Hu,Ms,Rt
|
| ab40099
|
SuperGold Anti-β-tubulin
|
100ul
|
2180
|
WB,ICC,IHC,FCM
|
Hu,Ms,Rt,Zf
|
|