文章目录[隐藏]

Wnt/β-catenin信号通路在调节细胞增殖、分化、迁移和活力中起着关键作用,它的异常激活与多种肿瘤如结直肠癌(CRC),黑色素瘤和肝癌相关。在静息状态下,β-catenin通过泛素化作用降解。泛素化由破坏复合体的磷酸化作用产生,而一旦Wnt信号通路激活,β-catenin就会去磷酸化、稳定并最终转移到细胞核中。
CRC是最常见和致命的癌症之一,55岁以下成年人的发病率每年增加2%。研究者们通过大规模的基因组测序,发现APC、CTNNB1和β-catenin等几个关键基因的突变构成了激活的Wnt信号通路。该通路与CRC的发生发展密切相关。因此,靶向Wnt信号通路可能是一种有效的CRC治疗策略。

为了探索新的靶向Wnt信号通路、抑制APC或CTNNB1突变的支架化合物,由来自中国海洋大学、青岛海洋科学与技术实验室及兰州大学的研究者组成的团队进行了一项研究。该研究进行了大量的药物筛选,最终,编号为C644-0303的小分子化合物被鉴定为Wnt/β- catenin信号传导抑制剂。这项研究发现了一种先导化合物,该化合物具有以前未报道过的支架结构,可有效抑制Wnt信号通路和CRC,为进一步开发药物类化合物治疗CRC提供了新的选择。该研究成果被发表于Cancer Science,标题是C644-0303, a small-molecule inhibitor of the Wnt/β-catenin pathway, suppresses colorectal cancer growth。

主要研究结果
01 C644-0303被鉴定为Wnt/β-catenin信号通路的抑制剂
为了找到能够有效抑制Wnt信号的化合物,研究者利用TCF/LEF荧光素酶报告质粒稳定转染HCT-116细胞,构建了一个基于荧光素酶报告系统的药物筛选系统。HCT-116细胞株由于CTNNB1的缺失突变而导致Wnt信号通路激活。从不同化合物文库中筛选出18840个小分子,在20 μmol/L浓度下与细胞作用24 h后,检测TCF/ LEF荧光素酶活性干扰。结果显示,C644-0303有效地抑制了TCF/LEF荧光素酶活性(如下图所示)。

C644-0303可以有效地抑制HCT-116细胞的生长,但对人正常结肠上皮细胞却没有影响(如下图所示)。

这些数据表明,C644-0303可以靶向CRC的Wnt信号通路,具有较强的抑制作用。另外,其对正常结肠细胞的潜在毒性还可以进一步优化。
为了检测C644-0303对Wnt/β-catenin信号通路的特异性,研究者选择6个细胞株,分为两组:Wnt依赖细胞(HCT-116、LS-174T、HT-29、DLD-1)和非Wnt依赖细胞(NCI-H460、MCF-7)进行增殖抑制实验。结果显示,C644-0303能有效抑制wnt依赖性癌细胞的增殖,而对非wnt依赖性癌细胞的生存能力影响不大,这与它们的Wnt/β-catenin信号激活水平一致(如下图所示)。

综上所述,C644-0303可以选择性抑制Wnt信号转导,但对非Wnt依赖的细胞影响不大。因此,C644-0303是一种有潜力的Wnt/β-catenin信号通路抑制剂。
02 C644-0303抑制β-catenin活性和内源性Wnt靶基因表达
使用C644-0303处理HCT-116细胞18小时后,细胞核β-catenin减少,且β-catenin发生磷酸化(如下图所示)。

此外,C644-0303强烈下调了HCT-116细胞中与细胞生长和生存相关的Wnt靶基因(Axin2、Cyclin D1和c-Myc)的表达水平(如下图所示)。

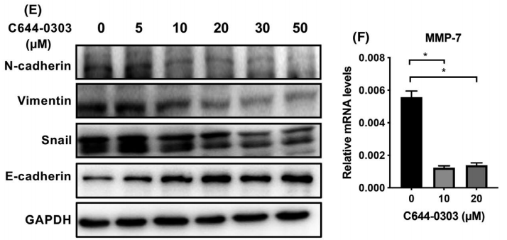
肿瘤细胞的上皮间充质转化(Epithelial-mesenchymal transition, EMT)是由Wnt信号通路紧密调控的。C644-0303可降低降低肿瘤前转移间充质标志物N-cadherin、Vimentin、Snail和基质金属肽酶MMP-7的表达,增加抗转移上皮标志物E-cadherin的表达(如下图所示)。

综上所述,C644-0303在Wnt依赖的CTNNB1和APC突变CRC细胞中阻断了β-catenin的激活和Wnt靶基因的表达。
03 C644-0303引起细胞周期阻滞,诱导细胞凋亡,抑制癌细胞迁移
细胞周期调控是细胞增殖的关键,与Wnt信号通路密切相关。Wnt下游靶点如Cyclin D1和c-Myc参与细胞周期的调控。经过C644-0303处理后,HCT-116细胞周期被阻滞,S期细胞丰度降低,这与Cyclin D1和c-Myc表达降低相一致(如下图所示)。

此外,C644-0303以剂量依赖的方式诱导HCT-116细胞凋亡(如下图所示)。但是,C644-0303不会诱导正常结肠细胞发生明显凋亡。

这些结果表明,C644-0303可通过阻滞细胞周期、诱导细胞凋亡等途径发挥抗肿瘤作用。
除上述结果外,这项研究还证明了C644-0303可通过多种途径抑制Wnt/β-catenin信号通路,抑制CRC细胞在体外的球化和生长,抑制Wnt依赖性CRC细胞在体内的生长。
综上所述,支架化合物C644-0303被鉴定为Wnt信号抑制剂。C644-0303能够抑制Wnt信号的激活,并抑制Wnt依赖性肿瘤的生长,为进一步开发药物类化合物治疗CRC提供了新的选择。
联科生物 产品助力
在本研究中,研究者使用联科生物自主研发的细胞周期试剂盒进行了细胞周期检测,获得了很好的结果,对产品给出了很好的评价。联科生物细胞周期试剂盒性价比高,操作简单,欢迎进入联科生物官网或联系我们进行咨询~

