https://www.liankebio.com/article-information_Newsletter-928.html
作者:Biovision官网 发布日期:2014-11-27 06:00
内皮细胞迁移对新血管生成十分重要。这些过程不仅在正常发育中有重要作用,对肿瘤生长和入侵中同样重要。Biovision的试剂盒可以帮助你研究血管生成(K905)和定量分析对不同生化刺激做出的细胞迁移作用(K906)
|
血管生成分析
|
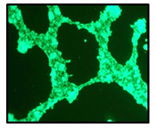
--- Angiogenesis (Tube Formation) Assay
|
目录号:93- K905-50
|
|
细胞迁移分析
|
--- EZCellTM Cell Migration/Chemotaxis Assay Kit
|
目录号:93- K906-100
|
| Angiogenesis Assay |
Cell Migration Assay |
主要特点:
- 管腔形成形象化
- 血管生成的放映
- 半定量
- 数据庞大,操作简单
|
主要特点:
- 测量细胞应激下的细胞迁移
- 显现影响细胞迁移的化合物
- 定量,高灵敏度分析
-适合高通量
|
 |
 |
| 内皮细胞在细胞外基质胶上的管腔形成 |
HT-1080细胞在迁移诱导物刺激下的细胞迁移及标准曲线 |
|