https://www.liankebio.com/article-information_Dynamic-2322.html
作者:佚名 发布日期:2018-02-09 09:00
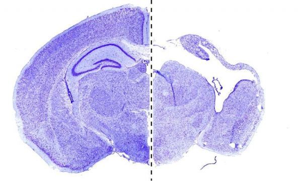
通过筛选小鼠体内影响神经细胞迁移的基因突变,科学家们发现一个基因在神经细胞内蛋白运输过程中发挥关键作用。科学家们发现如果正在发育的小鼠缺少这个基因表达的蛋白,它的大脑就会出现严重缺陷。通过研究该基因突变在人类中的情况,科学家们发现相同基因的突变导致了神经退行疾病。一个旨在将分子生物学家和临床遗传学家联系在一起的信息数据库将实验室和病人之间紧密联系在了一起:一个来自西欧国家的年轻患者成为了四兄弟中唯一一个受到该基因突变影响的人;神经退化、认知缺陷和痉挛限制了他对外界刺激产生反应或者控制肌肉的能力,他的一长串症状列表中还出现了癫痫。他在19岁就去世了。
维也纳分子病理学研究所(IMP)David Keays实验室的科学家们发现这个病人就是他们研究拼图的最后一个板块。在他们联系临床遗传学家之前很久,就开始在小鼠体内筛选对神经迁移有影响的基因突变。 脊椎动物的大脑发育强烈依赖于神经细胞正确的产生、迁移、分化和生存。所有这些过程都需要很多基因及其表达的蛋白协同作用,其中任何一个基因突变都可能影响神经细胞的功能。通过生物化学方法诱导基因突变,科学家们发现Vps15是神经正常发育必需的一个基因,相关研究成果于近日发表在《Nature Neuroscience》上。 “它几乎是一个不可能的候选基因。”该研究第一作者Thomas Gstrein说道。“人类有超过20000个基因,没有人能猜到Vps15会有这个作用,你不可能只通过Vps15就创造出大脑。 只有通过大量的筛选(与哈佛大学的研究人员合作),科学家们才找除了这个特殊的基因。 随后他们检测了小鼠大脑由于该基因突变产生的特征,并研究了Vps15在大脑发育中发挥作用的分子机制——将它与其他形成细胞骨架的蛋白联系在了一起。他们发现背后的分子机制之后,他们就转向了Genematcher——一个将他们与临床遗传学家联系在一起的数据库,该遗传学家有一个病人同源Vps15基因上出现了突变,这个病人也还有神经退行性疾病。 通过检查这个病人、他的兄弟姐妹以及他的父母,研究人员确定Vps15突变使得其表达的蛋白减少,从而引起了神经发育缺陷。在他们的文章中,他们指出Vps15也许在其他神经疾病中也发挥重要作用,如精神分裂症和自闭症,研究人员呼吁在未来的研究中要更加关注这个基因。 |

