https://www.liankebio.com/article-information_Dynamic-2144.html
作者:联科生物 发布日期:2017-09-27 09:00
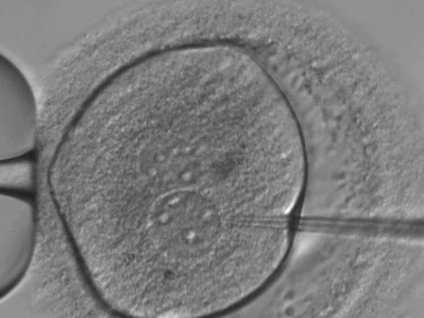
英国《自然》杂志近日发表一篇论文报告称,CRISPR-Cas9 基因组编辑技术已被用于研究 OCT4 基因在人类早期胚胎发育中的作用。该成果为未来相关研究建立起框架,并为认识控制胚胎发育的分子机制提供了新见解。这一原理研究表明,CRISPR-Cas9 基因组编辑技术可用于评估基因在人类早期发育阶段所起的作用。![]() ![]() ![]()
在人类早期发育阶段,受精卵分化成囊胚,囊胚包含 200 个至 300 个功能不尽相同的细胞:有些被称为多能性外胚层细胞,它们会继续发育成胎儿;另外一些则被称为胎外细胞,它们会形成胎盘和卵黄囊。可惜的是,人们至今仍不清楚决定这些早期细胞命运的机制。尽管 OCT4 基因被认为是人类细胞多能性和重编程必需的基因,但它在人类早期胚胎中的功能仍鲜为人知。 英国弗朗西斯·克里克研究所的凯西·尼阿肯及同事,此次使用经过优化的 CRISPR-Cas9 基因组编辑方法,靶向编辑人类受精卵中的 OCT4 基因。研究中使用的是捐赠用于治疗不孕症的多余人类受精卵。 研究表明,在人类早期发育阶段,OCT4 基因不可或缺,当它的表达受到抑制时,人的发育也会受到影响。他们还发现了 OCT4 在调节胎外细胞所涉基因的表达和多能性基因的表达中的作用。 论文作者称,他们的成果为未来的研究搭建了框架,有望进一步增强人们对人类胚胎发育的理解,并改善试管受精疗法,最终为改进干细胞的开发和治疗应用作出贡献。 |



