SuperGold抗体
? 到货快:顺丰速运,货期4-5天;
? 种类丰富:涵盖当下热门研究100+ 抗体,如ERK1,AKT1,BAX,Bcl-2等;
? 质量保证:经过了多种类型样本和实验方法验证,ISO9001国际质量体系认证
ab40037(SuperGold Anti-ERK2)
不同类型细胞样本Western blot实验 | 抗体稀释比:1:2000
ICC实验 | 抗体稀释比1:200

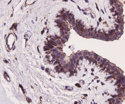
▼IHC实验 | 人乳腺癌组织石蜡切片
▼ SuperGold部分抗体清单:
| 目录号 | 产品名称 | 规格 | 目录价 | 应用 | 交叉反应性 |
| ab40000 | SuperGold Anti-AFP | 100ul | 2180 | WB,ICC,IHC,FCM | Hu |
| ab40001 | SuperGold Anti-AKT1 | 100ul | 2180 | WB,ICC,IHC,FCM | Hu,Ms |
| ab40002 | SuperGold Anti-Alpha smooth muscle Actin | 100ul | 2180 | WB,ICC,IHC | Hu,Ms,Rt |
| ab40003 | SuperGold Anti-Alpha-tubulin | 100ul | 2180 | WB,IHC,ICC,FCM,IF | Hu,Ms,Rt,Zf |
| ab40004 | SuperGold Anti-AU1 tag | 100ul | 2180 | WB,ELISA,IP,ICC | NoData |
| ab40005 | SuperGold Anti-BAX | 100ul | 2180 | WB,ICC,IHC,FCM | Hu,Ms |
| ab40006 | SuperGold Anti-BAX | 100ul | 2180 | WB,ICC,IHC | Hu,Ms,Rt |
| ab40007 | SuperGold Anti-Bcl-2 | 100ul | 2180 | WB,ICC,IHC,FCM | Hu |
| ab40008 | SuperGold Anti-BDNF | 100ul | 2180 | WB,ICC,IHC | Hu,Ms,Rt |
| ab40009 | SuperGold Anti-Beta-Actin | 100ul | 2180 | WB,ICC,IHC,FCM | Hu,Ms,Rt |
| ab40010 | SuperGold Anti-Beta-Catenin | 100ul | 2180 | WB,ICC,FCM | Hu,Ms,Rt |
| ab40011 | SuperGold Anti-Beta-Catenin | 100ul | 2180 | WB,IHC,FCM | Hu,Ms,Rt |
| ab40012 | SuperGold Anti-Bmi1 | 100ul | 2180 | WB,ICC,IHC,FCM | Hu,Ms,Rt |
| ab40013 | SuperGold Anti-BMP2 | 100ul | 2180 | WB,ICC,IHC,FCM | Hu,Ms,Rt |
| ab40014 | SuperGold Anti-Cardiac Troponin /TTNNT2 | 100ul | 2180 | WB,IHC | Hu,Ms,Rt |
| ab40015 | SuperGold Anti-Caspase-3 | 100ul | 2180 | WB,ICC,IHC,FCM | Hu,Ms |
| ab40016 | SuperGold Anti-Catalase | 100ul | 2180 | WB,ICC,IHC | Hu,Ms,Rt |
| ab40017 | SuperGold Anti-Caveolin-1 | 100ul | 2180 | WB,ICC,IHC | Hu,Ms,Rt |
| ab40018 | SuperGold Anti-CD133 | 100ul | 2180 | WB,ICC,IHC,FCM | Hu |
| ab40019 | SuperGold Anti-CD19 | 100ul | 2180 | WB,IHC,FCM | Hu,Ms |
| ab40020 | SuperGold Anti-CD3 epsilon | 100ul | 2180 | WB,ICC,IHC,FCM | Hu,Ms |
点击查看更多:SuperGold一抗上线,火速来抢!
全国咨询热线: 400-6721-600
♦ 活 动 相 关 ♦ 1、 活动时间:
2019年6月1日-2019年8月31日
2、 活动内容:
? 买一送一
SuperGold系列抗体,买一支(不限规格)送一支100uL酶标二抗
? 买二送二
SuperGold系列抗体,买二支(不限规格)送一支100uL酶标二抗+ 一支40uL标签(或内参)抗体
3、 促销代码:
? LK20190831
4、 活动详情:
(1)全线SuperGold抗体产品均参与此活动;
(2)赠品需和采购抗体一起下单;
(3)联科生物终端及代理商均可参加。
赠送产品列表(规格限定):
| 分类 | 存货编码 | 存货名称 | 规格型号 | 目录价 |
| 酶标二抗 | GAR007 | Goat Anti-Mouse IgG(H+L) HRP | 100ul | 150 |
| 酶标二抗 | GRT007 | Goat Anti-Rabbit IgG(H+L) HRP | 100ul | 150 |
| 酶标二抗 | RAG007 | Goat Anti-Rat IgG(H+L) HRP | 100ul | 240 |
| 酶标二抗 | GAR007 | Rabbit Anti-Goat IgG(H+L) HRP | 100ul | 180 |
| 标签抗体 | ab001-040 | Anti His-Tag Mouse mAb | 40ul | 560 |
| 标签抗体 | ab002-040 | Anti Flag -Tag Mouse mAb | 40ul | 560 |
| 标签抗体 | ab003-040 | Anti HA-Tag Mouse mAb | 40ul | 560 |
| 标签抗体 | ab004-040 | Anti GST-Tag Mouse mAb | 40ul | 560 |
| 标签抗体 | ab005-040 | Anti MBP-Tag Mouse mAb | 40ul | 560 |
| 标签抗体 | ab006-040 | Anti GFP-Tag Mouse mAb | 40ul | 560 |
| 标签抗体 | ab007-040 | Anti T7-Tag Mouse mAb | 40ul | 560 |
| 标签抗体 | ab101-040 | 6X His-Tag HRP | 40 ul | 560 |
| 内参抗体 | ab008-040 | β-Actin Mouse mAb | 40ul | 490 |
| 内参抗体 | ab009-040 | β-Tubulin Mouse mAb | 40ul | 490 |
| 内参抗体 | ab010-040 | β-Actin-HRP Mouse mAb | 40ul | 590 |
| 内参抗体 | ab011-040 | GAPDH-HRP Mouse mAb | 40ul | 590 |
| 内参抗体 | ab012-040 | β-Tubulin-HRP Mouse mAb | 40ul | 590 |
实验结果图:
