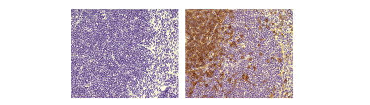
小鼠石蜡切片可以用来检测CD4了 Post published:2014-09-15 Post category:生物资讯Post views:5088 次访问 https://www.liankebio.com/article-information_Newsletter-1028.html 作者:affymetrix官网 发布日期:2014-09-15 10:00 小鼠脾脏石蜡包埋切片,左图:同型对照+抗大鼠IgG结果 右图:5 ug/mL Anti-Mouse CD4 Purified+抗大鼠IgG结果,细胞核用苏木精复染 小鼠脾脏石蜡包埋切片20 ug/mL Anti-Mouse CD4 eFluor® 570染色结果,细胞核为DAPI染色注:抗原修复方式可能各实验室不同 相关产品: Read more articles Previous PosteBioscience帮您搞定CD223(LAG-3)抗体 Next Post一种同时诊断多种癌症的方法? 你可能也喜欢 各种机型检测通道的常见荧光图谱 2012-09-21 PeproTech CAR-T细胞研究 2019-09-26 联科生物2021年终促销来了,错过再等一年 2021-11-29 Luminex平台ProcartaPlex多因子分析技术 2016-04-15 R&D间充质干细胞(MSC)培养基产品 2016-06-27 ELISA系列丨表皮生长因子EGF家族及其受体 2023-03-07 实验干货|流式法检测 Raw264.7 细胞 M1/M2 亚型比例,步骤 + 试剂清单一键收藏! 2025-11-25 蛇年第一课|小科带你回顾凋亡实验及其检测要点 2025-02-18