https://www.liankebio.com/article-information_Tech-998.html
作者:Eppendorf官网 发布日期:2016-11-02 09:00
Eppendorf 细胞培养耗材的优势性能:
1. 提供 TC 处理和未处理两种表面,分别满足贴壁细胞和悬浮细胞的生长
2. 由高纯度的原生聚苯乙烯制成,符合 USP VI 级标准
3. 不含人类和小鼠 DNA、DNase、RNase, 无菌(SAL 10-6)、无热原和内毒素
4. 批次质检,培养表面通过特定细胞株加以确认
? 培养瓶:
> 独特的 ConvexAccessTM 瓶颈,扩展了培养瓶的可操作范围,减少死角
> 防滚动瓶盖,并具有创新滤膜,减少污染
|
 |
? 培养皿:
> 培养皿的波浪形易握环和叠放环,方便拿取,叠放稳定,转移安全
> 智能包装,易于打开,且可重复密封,确保无菌存放
|
 |
? 培养板:
> chimney-well 独立孔井设计,无边缘效应,将培养板使用率提高 38%
> 平坦培养表面,确保细胞均匀生长,并提高显微检测的清晰度
|
 |
Eppendorf 细胞培养耗材已成功培养了以下细胞:
| 原代细胞 |
肿瘤细胞 |
其他细胞 |
| 睾丸间质细胞 |
SH-SY5Y 细胞 |
CHO 细胞 |
| PDLSC 细胞 |
H441 细胞 |
BV-2 细胞 |
| 星形胶质细胞 |
B16 细胞 |
BEAS-2B 细胞 |
| 软骨细胞 |
LNCaP 细胞 |
HEK 293 细胞 |
| 人表皮角质细胞 |
MCF-7 细胞 |
THP-1 细胞 |
| 人黑色素细胞 |
LN229 GBM 细胞 |
BmN 细胞 |
| |
MDA-MB-231 细胞 |
NIH 3T3 细胞 |
| |
A549 细胞 |
plat-E 细胞 |
| |
U2OS 细胞 |
MEF 细胞 |
| |
|
293T 细胞 |
| |
|
COS-7 细胞 |
| |
|
HeLa 细胞 |
| |
|
HepG2 细胞 |
| |
|
hMSC 细胞 |
| |
|
HUVEC 细胞 |
| |
|
Vero 细胞 |
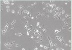
Eppendorf 细胞培养耗材与其他品牌耗材具有相同品质,满足细胞的生长1) 小鼠睾丸间质细胞在T-25培养瓶培养 96 小时的生长情况
 |
 |
| Eppendorf:细胞贴壁均匀,且密度高 |
其他品牌:细胞贴壁均匀,但密度小很多 |
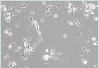
2) SH-SY5Y 细胞在T-75培养瓶的生长情况
 |
 |
| Eppendorf :培养瓶细胞贴壁良好 |
其他品牌:培养瓶内细胞贴壁均匀,但贴壁率稍低 |
3) 不同细胞在 Eppendorf 6孔培养板中培养并转染后的生长情况
 |
 |
| plat-E 细胞,培养12小时 |
EGFP 转染的 plat-E 细胞 |
 |
 |
| MEF 细胞,培养 48 小时 |
病毒感染的 MEF 细胞 |
|